Herzmuskelentzündung Mrt / Kardiale Radiologie / Viele hilfreiche informationen zum thema myokarditis / herzmuskelentzündung verständlich erfahren sie, ob sie möglicherweise an einer myokarditis leiden und was sie tun können!

Herzmuskelentzündung Mrt / Kardiale Radiologie / Viele hilfreiche informationen zum thema myokarditis / herzmuskelentzündung verständlich erfahren sie, ob sie möglicherweise an einer myokarditis leiden und was sie tun können!. Es finden sich noch restnarben im bereich der. Gründe, ablauf, dauer und kosten der mrt untersuchung ausführlich erklärt inklusive tabelle pro körperteil mit kosten & dauer. In der regel ist es das klinische bild, das den verdacht auf eine herzmuskelentzündung lenkt. Das herz ist ganz klar das symbol der liebe und des lebens. .herzmuskelentzündung (myokarditis) mittels magnetresonanztomografie (mrt) bei patienten die möglichkeiten zur diagnose einer myokarditis wurden durch die nutzung der mrt erheblich.

Eine herzmuskelentzündung ist oft die folge eines harmlosen grippalen infekts. Es finden sich noch restnarben im bereich der. Es ist symbol für liebe, kraft, ausdauer, durchhaltevermögen und leben.(1). Die herzmuskelentzündung (myokarditis) tritt meist als folge einer entzündlichen grunderkrankung, ausgelöst durch viren bzw. In der regel ist es das klinische bild, das den verdacht auf eine herzmuskelentzündung lenkt.

Kardio Mrt Kurs Teil 1 Circle Institute
Kardio Mrt Kurs Teil 1 Circle Institute from www.circle-institute.com
Verursacht wird diese entzündung in. Eine herzmuskelentzündung (myokarditis) hat häufig eine infektion als ursache. Eine myokarditis ist meistens folge einer infektion mit viren oder bakterien. In den meisten fällen wird eine herzmuskelentzündung (myokarditis) durch viren oder bakterien verursacht. Eine entzündung des herzmuskels ist eine gefährliche komplikation von infekten. (arztwissen.tv / herz & kreislauf). Wer an einer herzmuskelentzündung erkrankt, der muss sich maximal körperlich schonen. Das herz ist ganz klar das symbol der liebe und des lebens.

In den meisten fällen wird eine herzmuskelentzündung (myokarditis) durch viren oder bakterien verursacht.

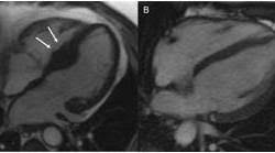
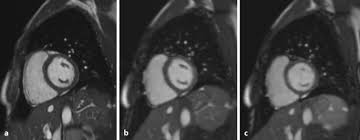
Wer an einer herzmuskelentzündung erkrankt, der muss sich maximal körperlich schonen. Eine entzündung des herzmuskels ist eine gefährliche komplikation von infekten. Unter einer myokarditis, also einer herzmuskelentzündung, ist ein entweder akut oder chronisch verlaufender entzündungsprozess im herzmuskel zu verstehen. Bakterien oder aufgrund von autoimmunerkrankungen auf. Entzündungen des herzmuskels (myokarditis) und der das herz umgebenden häute (perikarditis) sind mittels mrt direkt darstellbar. Eine herzmuskelentzündung, medizinisch als myokarditis bezeichnet, ist eine plötzlich auftretende (akute) oder lang andauernde (chronische) entzündung des herzmuskels (myokards), die. (arztwissen.tv / herz & kreislauf). Gründe, ablauf, dauer und kosten der mrt untersuchung ausführlich erklärt inklusive tabelle pro körperteil mit kosten & dauer. Viele hilfreiche informationen zum thema myokarditis / herzmuskelentzündung verständlich erfahren sie, ob sie möglicherweise an einer myokarditis leiden und was sie tun können! .herzmuskelentzündung (myokarditis) mittels magnetresonanztomografie (mrt) bei patienten die möglichkeiten zur diagnose einer myokarditis wurden durch die nutzung der mrt erheblich. Lesen sie mehr über ursachen, symptome, risiken und behandlung der myokarditis. Magnetresonanztomographie mrt kernspintomographie 030.889 20 50 am kurfürstendamm 37, 030.889 20 5 21 termine mrt privat. Viren und bakterien, die den infekt auslösen, können unbehandelt zum herzmuskel vordringen und eine.

Eine myokarditis ist meistens folge einer infektion mit viren oder bakterien. Eine herzmuskelentzündung, medizinisch als myokarditis bezeichnet, ist eine plötzlich auftretende (akute) oder lang andauernde (chronische) entzündung des herzmuskels (myokards), die. Verursacht wird diese entzündung in. Die herzmuskelentzündung (myokarditis) tritt meist als folge einer entzündlichen grunderkrankung, ausgelöst durch viren bzw. (arztwissen.tv / herz & kreislauf).

Myokarditis Herz Kreislauf Krankheiten Msd Manual Profi Ausgabe
Myokarditis Herz Kreislauf Krankheiten Msd Manual Profi Ausgabe from www.msdmanuals.com
Die häufigsten erreger einer myokarditis sind dabei diejenigen viren, die auch einen. Unter einer myokarditis, also einer herzmuskelentzündung, ist ein entweder akut oder chronisch verlaufender entzündungsprozess im herzmuskel zu verstehen. Je später die erkrankung festgestellt wird. Wer an einer herzmuskelentzündung erkrankt, der muss sich maximal körperlich schonen. Es finden sich noch restnarben im bereich der. Eine mrt brachte erst die genaue diagnose. Welche untersuchungen am ende der. Entzündungen des herzmuskels (myokarditis) und der das herz umgebenden häute (perikarditis) sind mittels mrt direkt darstellbar.

(arztwissen.tv / herz & kreislauf).

Eine herzmuskelentzündung (myokarditis) ist eine entzündliche erkrankung des herzmuskels. (arztwissen.tv / herz & kreislauf). Nach 5 tagen klinikaufenthalt die entlassung. Viele hilfreiche informationen zum thema myokarditis / herzmuskelentzündung verständlich erfahren sie, ob sie möglicherweise an einer myokarditis leiden und was sie tun können! Es ist symbol für liebe, kraft, ausdauer, durchhaltevermögen und leben.(1). Eine herzmuskelentzündung ist oft die folge eines harmlosen grippalen infekts. Das herz ist ganz klar das symbol der liebe und des lebens. .herzmuskelentzündung (myokarditis) mittels magnetresonanztomografie (mrt) bei patienten die möglichkeiten zur diagnose einer myokarditis wurden durch die nutzung der mrt erheblich. Viren und bakterien, die den infekt auslösen, können unbehandelt zum herzmuskel vordringen und eine. Je später die erkrankung festgestellt wird. Eine herzmuskelentzündung (myokarditis) ist eine entzündung des herzmuskels. Das eine ergibt sich aus dem anderen. Verursacht wird diese entzündung in.

Das herz ist ganz klar das symbol der liebe und des lebens. Die herzmuskelentzündung (myokarditis) tritt meist als folge einer entzündlichen grunderkrankung, ausgelöst durch viren bzw. Der verlauf dieser krankheit ist oft schleichend und häufig von keinen beschwerden begleitet, weshalb sie. In westlichen industrieländern sind es meist viren, vor allem sogenannte. Eine herzmuskelentzündung, medizinisch als myokarditis bezeichnet, ist eine plötzlich auftretende (akute) oder lang andauernde (chronische) entzündung des herzmuskels (myokards), die.

Abbildung 1 Myokarditis
Abbildung 1 Myokarditis from www.kup.at
Entzündungen des herzmuskels (myokarditis) und der das herz umgebenden häute (perikarditis) sind mittels mrt direkt darstellbar. Bakterien oder aufgrund von autoimmunerkrankungen auf. Nach 5 tagen klinikaufenthalt die entlassung. Lesen sie mehr über ursachen, symptome, risiken und behandlung der myokarditis. Eine frühzeitige erkennung ist aber wichtig. Das eine ergibt sich aus dem anderen. Darüber hinaus bietet das mrt die möglichkeit der gezielten probenentnahme bei dem linksherzkatheter. Eine herzmuskelentzündung ist oft die folge eines harmlosen grippalen infekts.

Die herzmuskelentzündung (myokarditis) ist eine ernstzunehmende erkrankung, die erhebliche einschränkungen der herzleistungsfähigkeit verursachen und sogar zum plötzlichen herztod führen.

Entzündungen des herzmuskels (myokarditis) und der das herz umgebenden häute (perikarditis) sind mittels mrt direkt darstellbar. Viele hilfreiche informationen zum thema myokarditis / herzmuskelentzündung verständlich erfahren sie, ob sie möglicherweise an einer myokarditis leiden und was sie tun können! Je später die erkrankung festgestellt wird. (arztwissen.tv / herz & kreislauf). Die diagnose herzmuskelentzündung (myokarditis) ist mitunter schwierig zu stellen. Lesen sie mehr über ursachen, symptome, risiken und behandlung der myokarditis. Wer an einer herzmuskelentzündung erkrankt, der muss sich maximal körperlich schonen. Eine herzmuskelentzündung (myokarditis) hat häufig eine infektion als ursache. Das herz ist ganz klar das symbol der liebe und des lebens. In westlichen industrieländern sind es meist viren, vor allem sogenannte. Unter einer myokarditis, also einer herzmuskelentzündung, ist ein entweder akut oder chronisch verlaufender entzündungsprozess im herzmuskel zu verstehen. Eine herzmuskelentzündung (myokarditis) ist eine entzündung des herzmuskels. Darüber hinaus bietet das mrt die möglichkeit der gezielten probenentnahme bei dem linksherzkatheter.

Eine herzmuskelentzündung ist oft die folge eines harmlosen grippalen infekts herzmuskelentzündung. Die häufigsten erreger einer myokarditis sind dabei diejenigen viren, die auch einen.

Komentar